Gel Documentation

Gel.LUMINAX gel documentation system

Excellent optics coupled to a high quality camera, the Gel.LUMINAX gel documentation system, is a high performance and reliable fluorescent and colorimetric bio-imaging system.

Featuring a 18 megapixel digital camera, the camera connects to a PC through a USB and can be controlled from the PC. The light-tight cabinet has a UV safety switch and a roll-out transilluminator. A choice of illumination options with UV trans/epi lighting, wavelengthspecific LEDs and more, adds to the versatility of the system.

Ultraviolet transillumination can be provided in 312nm, 365nm or 254nm ranges. Filter size of transilluminator is 20×20 cm or 21x26cm. For extra large gels, we also offer a 26x26cm filter transilluminator. Epi-white light illumination from above is standard. Optionally, ultraviolet epi-illumination in a variety of wavelengths can also be provided.

The dark room cabinet has features for safety switch that switches off the UV lights as soon as the door is open. A timer is attached to the transilluminator, which auto switches off UV light in case the user forgets to switch it off. This increases the life of the UV lamps.

This gel doc system is perfect for diagnostic labs, biotech start-ups, for HLA-typing facilities, DNA and protein research and academic labs.

Gel.LUMINAX gel documentation system is used to capture images of:
  • Protein and DNA gels,
  • HLA typing applications,
  • Petri plates and Agar plates,
  • Tissue Culture Flasks,
  • Membranes,
  • TLC plates,
  • Microplates…

Comparison

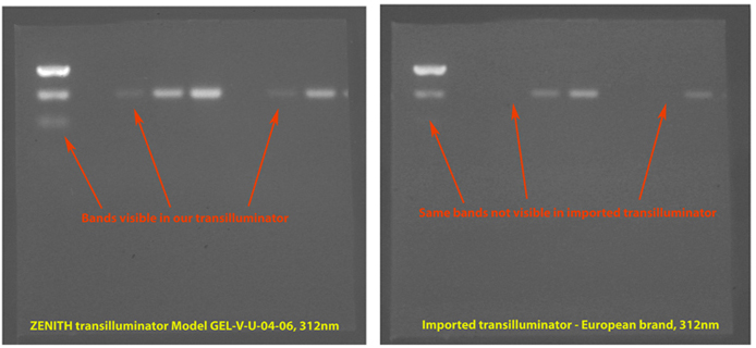
A comparison was done between the performance of our gel doc transilluminator and a European system. The same EtBr-stained gel was viewed and photographed in our system and then immediately again (so that the lighter bands did not diffuse) on a famous European-brand system. The camera settings were the same and transilluminators intensity set at maximum in both transilluminators. Post processing involved cropping & pasting the gel images together and the text annotations shown in image above. No processing was done to deliberately lighten the bands in the European-brand transilluminator. This comparison was done at a large biotech company in Bangalore (India) that had access to both our and the other transilluminator.

Clearly, our system performs better than the European brand despite being much less in price.

How the Gel Documentation System works

A transilluminator is mounted on roll-out rails inside a light-tight cabinet. To place the gel, the door is opened and transilluminator pulled out. Push it in, close the door and switch on the UV light and camera. The camera is mounted on top of the cabinet along with zoom lens and wavelenght filter (nominally 590nm filter suitable for Ethidium Bromide EtBr gels is provided).

Connect the camera to the PC using the USB cable and gel capture software, to get a real-time live view image of the gel. Adjust camera settings (like shutter speed, aperture, focus) till the optimum image is obtained. Click your images and save them on the PC. A white light epi-illuminations source is also provided, that illuminates objects from top.

With the optional 1D gel analysis software, you can analyse the gels.

Features & Filters

Features
  • Low Noise CMOS imaging sensor
  • 8-bit and 14-bit options
  • 18 megapixel cameras
  • Excellent dynamic range
  • 3.0 orders of magnitude, 58 dB
  • Superior signal-to-noise
  • Sharp Zoom lens
  • Motorized auto-focus
  • Motorized aperture setting
  • Manual zoom range 3x
  • Exposure from 0.00025s onwards
  • Single/Dual 312nm/365nm/254nm UV
  • RGB LEDs and convertor screens
  • Operate camera via PC
  • Timer for auto-off of UV
  • Advanced Gel Analysis Software
Filters
  • Options for filter holders
  • Standard is manual 3-position filter holder
  • Advanced models with 7-position motorized filter holder available
  • Orange 590 EtBr and clear are standard
Choice of filters available for these stains:
  • Orange 590: Ethidium Bromide (EtBr), SYPRO Ruby, ProQ Diamond, Deep Purple, etc
  • Green 520: SYBR Green I, Green II, SYBR Gold, GFP, Fluorescein, FITC
  • Orange 560: SYBR Safe, Rhodamine, Cy3, etc
  • Red 630: SYPRO Red, Texas Red, etc
  • Blue 480: Hoechst, Coumarin, etc
  • Clear: Coomassie Blue, Silver etc

Lighting & Advantages

Lighting
  • Standard lighting systems are UV transillumination in 302-312nm* and Epi-white light
  • Gel filter illumination area is 20x20cm, with 21x26cm option for larger gels. For extra large gels, we also offer a 26x26cm filter.
  • Gels up to a maximum of 26x26cm can be observed, captured and analysed
  • Sample size area is 38x30cm
  • We also offer UV transillumination in dual wavelength (312+365nm being most common)
  • For rare applications UV transillumination in triple wavelength (254+312+365nm) can also be given
  • Multi broad band wavelengths can also be offered 254nm, 312nm and 365nm UV trans lights
  • Intensity control for low and high trans-illumination – low for preparative work and high for quantitative
  • White light tables are optional to use gel doc for protein gels documentation
  • For special stains, blue light tables can also be given
  • Multi-wavelength epi-illumination LEDs are also available for Red, Green, Blue lights for special stains
* Please note that 300nm, 302nm, 306nm and 312nm are in the same range of wavelengths called UV-B (also known as mid-range). Some manufacturers quote 302nm but it is the same as 312nm..
Advantages
  • Easy to use, safe dark-room
  • Low cost, yet high quality images
  • Control camera from PC
  • Focus, clicking, exposure from PC
  • Camera mounted conveniently
  • Easy access to transilluminator
  • Small foot print requires less space
  • Superb performance/price

Gel Capture Software (standard)

Convenient and easy-to-use Gel Capture software has options for adjusting the shutter speed, aperture, focus, directory, rotation etc. You can view the gels live on the screen and capture the image using the software. This software is provided standard with the gel documentation system.

Package Includes & Optionals

Package Includes
  • Dark room cabinet with safety switch
  • Roll out variable intensity 312nm transilluminator
  • Epi-white light illumination
  • 18 megapixel camera
  • Gel capture software
  • 590nm filter, suitable for EtBr stained gels
  • Power cords, USB cable, instruction manual, warranty card
Optionals are
  • Transilluminator in 365nm, 254nm or dual or triple wavelengths
  • Epi-illumination in multiple wavelength LEDs
  • Gel Analysis software
  • Tablet with touch screen to give a stand-alone gel documentation setup

Get in Touch

For any queries or detailed requirements, get in touch with our team of experts at Shiva Scientific.